Diş eti çekilmesi Neden Olur? Ne İyi Gelir?

Diş eti çekilmesi Neden Olur? Ne İyi Gelir?

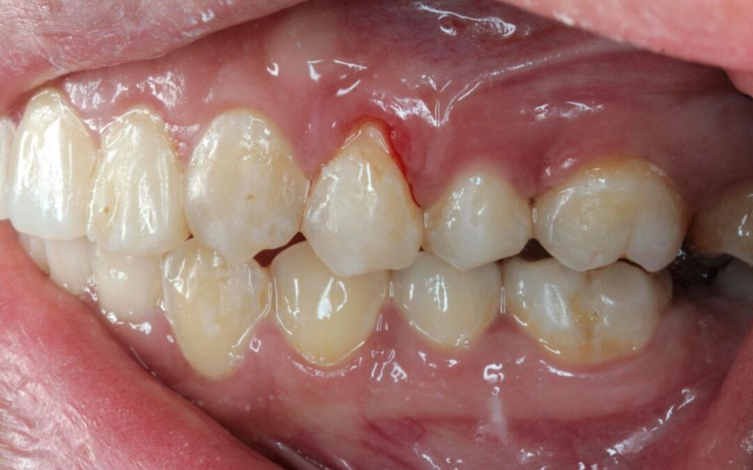
Diş eti çekilmesi, diş etlerinin dişlerin kök yüzeyinden çekilerek geriye doğru çekilmesi durumudur. Diş eti çekilmesinin birkaç nedeni vardır: Diş Fırçalama ve Diş İpi Kullanımı: Agresif veya yanlış diş fırçalama, diş etlerine zarar verebilir. Ayrıca düzenli diş ipi...
Varfarin Nedir? Varfarin Etki Mekanizması

Varfarin Nedir? Varfarin Etki Mekanizması

Varfarin (Warfarin), bir antikoagülan veya kan sulandırıcı olarak kullanılan bir ilaçtır. Varfarin, kanın pıhtılaşmasını önleyen bir ilaçtır. Pıhtılaşmayı kontrol altına alarak veya engelleyerek, kalp krizi, inme veya venöz tromboemboli gibi kan pıhtılarına bağlı...
K2 Vitamini Kan Sulandırıcı ile Birlikte Kullanılır mı?

K2 Vitamini Kan Sulandırıcı ile Birlikte Kullanılır mı?

K2 Vitamini Kan Sulandırıcı ile Birlikte Kullanılır mı? K2 vitamini ve kan sulandırıcılar, bazı insanlar için önemli bir sağlık meselesi olabilir. İşte bu konu hakkında daha fazla bilgi ve önemli noktalar: K2 Vitamini Kan Sulandırıcı: Birlikte Kullanılabilir mi? K2...
Propolis Nasıl Kullanılır? Propolis Tentürü, Merhemi

Propolis Nasıl Kullanılır? Propolis Tentürü, Merhemi

Propolis Nasıl Kullanılır? Propolis, arıların ağaç reçinesini toplayarak ürettikleri doğal bir arı ürünüdür. Sağlık açısından bir dizi olası fayda sunan propolis, genellikle takviye olarak veya alternatif tıp uygulamalarında kullanılır. Propolis Nasıl Kullanılır? 1....
Kirpik Dibi İltihabı Nasıl Geçer?

Kirpik Dibi İltihabı Nasıl Geçer?

Kirpik Dibi İltihabı, tıp dilinde blefarit olarak bilinir ve göz kapağının kirpiklerin kökleri etrafındaki kirpik dibini etkileyen bir tür göz enfeksiyonu veya iltihabıdır. Bu durum, bir dizi semptomla karakterize edilir ve rahatsızlık yaratabilir. Kirpik dibi...
Glifosat Nedir? Nerelerde Kullanılır? Zararları

Glifosat Nedir? Nerelerde Kullanılır? Zararları

Glifosat (Glyphosate), yaygın olarak tarım ve bahçe bakımında kullanılan bir herbisittir. Genellikle “Roundup” adı altında pazarlanır ve dünya genelinde en çok satılan herbisitlerden biridir. Glyphosate, istenmeyen bitkilerin büyümesini engellemek veya yok...
Kırık Kalp Sendromu Nedir? (Takotsubo Kardiyomiyopatisi)

Kırık Kalp Sendromu Nedir? (Takotsubo Kardiyomiyopatisi)

Kırık Kalp Sendromu, tıp literatüründe Takotsubo Kardiyomiyopatisi olarak bilinir ve genellikle aşırı stres veya duygusal travma sonrasında ortaya çıkan geçici bir kalp rahatsızlığıdır. Bu sendrom, kalp kaslarının geçici olarak zayıfladığı ve kalp fonksiyonlarının...
Wellens Sendromu Nedir?

Wellens Sendromu Nedir?

Wellens Sendromu, kalp sağlığıyla ilgili ciddi bir durumu tanımlayan bir tıbbi terimdir. Bu sendrom, özellikle koroner arter hastalığının bir sonucu olarak gelişen belirli bir EKG (elektrokardiyografi) desenini ifade eder. Wellens Sendromu, koroner arterlerin birinde...
Tırnaklarım Çok İnce Ne Yapabilirim?

Tırnaklarım Çok İnce Ne Yapabilirim?

Tırnaklarım Çok İnce Ne Yapabilirim? İnce tırnaklar, normalden daha zayıf ve kolayca kırılgandır. Bu sorun, estetik kaygıların yanı sıra tırnak sağlığını etkileyebilir. İnce Tırnaklar Neden Olur? İnce tırnakların birçok farklı nedeni olabilir. En yaygın nedenler...
Mercimek ve Guatrojenik Etkileri

Mercimek ve Guatrojenik Etkileri

Mercimek ve Guatrojenik Etkileri Mercimek, birçok sağlık yararı sunan besleyici bir baklagildir. Ancak bazı kaynaklarda, mercimeğin guatrojenik etkilere sahip olabileceği belirtilmiştir. Mercimek ve Guatrojenik Etkileri Mercimek, kuru baklagiller ailesine aittir ve...
Haşimoto ve Guatrojenik Besinler

Haşimoto ve Guatrojenik Besinler

Haşimoto ve Guatrojenik Besinler Haşimoto tiroiditi, tiroid bezinin otoimmün bir hastalığıdır ve tiroid bezinin inflamasyonuna neden olabilir. Guatrojenik besinler, tiroid sağlığını olumsuz etkileyebilecek veya guatr oluşumuna yol açabilecek gıdalardır. Haşimoto ve...
0
    Pazar Sepetiniz
    Sepetiniz BoşMağazaya Git
      Kargo hesapla